
Co Oznacza Zgrzytanie Zębami w Nocy u Dorosłych? Przyczyny i Leczenie
6 lipca 2025
Profilaktyka stomatologiczna u dorosłych
28 września 2025Paradontoza, czyli zapalenie przyzębia, to podstępna choroba, która daje przykre, uciążliwe objawy i stanowi realne zagrożenie dla zdrowia całego organizmu. Początki paradontozy są niepozorne, dlatego często bywa ignorowana, co prowadzi do jej szybkiego rozwoju. Ocenia się, że niemal 70% Polaków zmaga się z tym schorzeniem, zatem śmiało możemy już mówić o prawdziwej epidemii paradontozy w Polsce! Czym dokładnie jest? Jak ją rozpoznać, jakie są jej przyczyny i możliwości leczenia? Czy jest dziedziczna? Dowiedz się i nie bagatelizuj nawet najmniejszych symptomów!
Co to jest paradontoza?
Wiele osób słyszało ten termin, ale nie wie dokładnie, co to jest paradontoza. Błędnie określana mianem „parodontozy” paradontoza to zapalenie przyzębia. Wyróżnia się cztery rodzaje zapalenia przyzębia, takie jak:
- typowe – stanowi ono najczęściej występującą postać choroby (diagnozowane jest u blisko 70% pacjentów), rozwija się bardzo powoli, objawy daje stopniowo (pierwszym jest zazwyczaj nadmierne gromadzenie się płytki bakteryjnej, głównie na siekaczach i zębach trzonowych), dlatego często bywa bagatelizowane i uznawane jedynie za „defekt kosmetyczny”;
- młodzieńcze – występuje bardzo rzadko (choruje na nie mniej niż 1 proc. pacjentów), ujawnia się około 13 roku życia i rozwija bardzo szybko, prowadząc do poważnych uszkodzeń w obrębie kości;
- przedpokwitaniowe – występuje u małych dzieci, objawia się m.in. silnym stanem zapalnym, bólem i krwawieniem dziąseł;
- gwałtownie postępujące – jest agresywną formą paradontozy, odnotowywaną u około 5% pacjentów, szybko postępującą i prowadzącą do utraty zębów.
Wszelkie niepokojące zmiany w obrębie jamy ustnej, również te bezbolesne, powinny być czym prędzej skonsultowane ze stomatologiem, ponieważ mogą być pierwszymi objawami paradontozy.
Objawy paradontozy
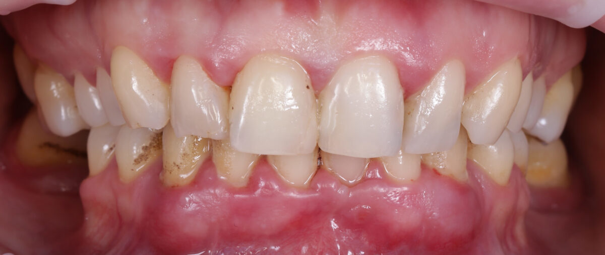
Początki choroby są niepozorne, zatem jak wygląda paradontoza i jakie daje objawy? Do pierwszych objawów należą zazwyczaj m.in.:
- halitoza (nieprzyjemny zapach z ust),
- zaczerwienienie,
- obrzęk
- i nawracające zapalenie dziąseł.
Symptomy te są najczęściej bagatelizowane i „maskowane”. Osoba, która zmaga się z zapaleniem przyzębia, ale jeszcze o tym nie wie, walczy z nieprzyjemnym zapachem, sięgając po różnego rodzaju gumy i spraye odświeżające. Dyskomfort w obrębie dziąseł łagodzi natomiast różnymi dostępnymi bez recepty preparatami o działaniu przeciwzapalnym i przeciwbólowym lub domowymi sposobami.
Uwaga! Niestety, wszystkie te działania to walka z objawem a nie przyczyną, dlatego choroba rozwija się w najlepsze i czyni coraz większe szkody w organizmie. Warto mieć świadomość tego, że szybkie rozpoznanie paradontozy i podjęcie leczenia na wczesnym etapie daje bardzo dobre rezultaty. Im natomiast choroba jest bardziej zaawansowana, tym jest groźniejsza i boleśniejsza, a leczenie jest bardziej skomplikowane.
Kolejne objawy paradontozy to:
- krwawienie dziąseł w trakcie higieny jamy ustnej,
- nadwrażliwość zębów,
- ból dziąseł,
- odsłonięcie szyjek zębowych.
W zaawansowanym zapaleniu przyzębia zęby mogą się chwiać, a nawet całkowicie wypadać!
Przyczyny paradontozy
Najnowsze badania naukowe pokazują, że za rozwój paradontozy w dużym stopniu odpowiadają bakterie, a należą do nich przede wszystkim Selenomonas sputigena, Prevotella i Treponema pallidum (krętek blady odpowiadający za rozwój kiły). Dwie pierwsze z wymienionych naturalnie występują w jamie ustnej i w prawidłowych warunkach nie zagrażają zdrowiu, natomiast w określonych sytuacjach wywołują stan zapalny.
Podstawową przyczyną zapalenia przyzębia jest nieprawidłowa higiena jamy ustnej lub jej brak. Wówczas bowiem dochodzi do nadmiernego gromadzenia się płytki nazębnej i kamienia nazębnego. Konsekwentnie zajmują one coraz większy obszar zębów i ostatecznie – jeśli nie zostaną usunięte – wnikają pod dziąsło. Stąd już prosta droga do powtarzających się stanów zapalnych i utraty stabilności zębów, a w konsekwencji nawet do ich wypadania.
Czy paradontoza jest dziedziczna?
Wiele osób zastanawia się, czy paradontoza jest dziedziczna, czy to wyłącznie przypadek, że chorują na nią również inni członkowie rodziny. Nie jest to przypadek, ponieważ zapalenie przyzębia rzeczywiście jest dolegliwością dziedziczną. Dziedziczenie zapalenia przyzębia jest zauważalne w szczególności na linii matka-dziecko, jednak nie jest to regułą.
Czy obciążenie genetyczne oznacza „wyrok”?
Jeśli Twoi bliscy zmagają się z paradontozą, znajdujesz się w grupie podwyższonego ryzyka. Nie oznacza to jednak, że z pewnością zachorujesz. Podstawą w minimalizowaniu ryzyka wystąpienia schorzenia jest profilaktyka – regularne wizyty w gabinecie stomatologicznym, postępowanie zgodnie z wytycznymi i prawidłowa higiena jamy ustnej.

Leczenie paradontozy
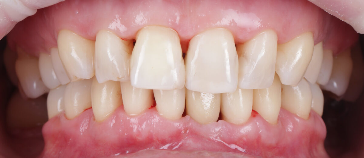
Efekty leczenia paradontozy są uzależnione od stopnia jej rozwoju i zaangażowania pacjenta w proces. Na szczęście istnieje jednak wiele metod, które pozwalają na wyleczenie zapalenia przyzębia lub (w bardzo zaawansowanych przypadkach) spowolnienie postępu choroby i zniwelowanie przykrych objawów. Najistotniejsze działania to: regularne usuwanie złogów kamienia nazębnego (skaling, inaczej higienizacja), piaskowanie i następnie lakierowanie (wzmacniające i zabezpieczające przed rozwojem kamienia, próchnicy i działania bakterii). W trudniejszych przypadkach konieczne może okazać się leczenie chirurgiczne.


Czy paradontoza jest uleczalna?
Odpowiedź na pytanie, czy paradontoza jest uleczalna, nie jest jednoznaczna. Rokowanie zależy bowiem od zaawansowana dolegliwości. Im łagodniejsze stadium, mniejsze zmiany i szybsza diagnoza, tym szansa na wyleczenie i komfortowe funkcjonowanie jest większa. Parodontoza jest jednak chorobą przewlekłą, która może nawracać, zatem nawet po wyleczeniu należy bezwzględnie przestrzegać zaleceń i regularnie kontrolować stan jamy ustnej.
Jaki lekarz pomoże z paradontozą?
Lekarz od paradontozy to periodentolog. Podejrzewając paradontozę, to właśnie do niego należy udać się w pierwszej kolejności. Jest to bowiem specjalista, który rzetelnie oceni stan uzębienia i przygotuje szczegółowy plan leczenia. Możliwe, że zaleci wykonanie określonych zabiegów w gabinecie stomatologicznym (np. wspomniany skaling) i późniejszą kontrolę.
Podsumowanie
Paradontoza to poważna dolegliwość, której nie można bagatelizować. Jeśli stan zębów lub/i dziąseł wzbudza Twoje wątpliwości, nie zwlekaj z wizytą u specjalisty. Im szybciej zapalenie przyzębia zostanie zdiagnozowane i poddane leczeniu, czym rokowania będą lepsze!





