Stomatolog w Warszawie
Stomatologia to dziedzina, w której precyzja musi iść w parze z zaufaniem. W Klinice Demeter nie uznajemy półśrodków – stawiamy na sprawdzone procedury medyczne i trwałe efekty leczenia. Jeśli oczekujesz rzetelnej diagnozy oraz planu działania dopasowanego do Twoich rzeczywistych potrzeb, nasza klinika stomatologiczna jest miejscem, w którym otrzymasz fachową pomoc.

Dentysta Warszawa Praga Północ i Żoliborz
W Klinice Demeter stomatologia to nie tylko zawód, to misja rozwijana z pasją od ponad 30 lat. Przez trzy dekady budowaliśmy zespół, który tworzą najlepsi lekarze dentyści, nieustannie podnoszący swoje kwalifikacje na kursach w kraju i za granicą. Dzięki temu jesteśmy w stanie zapewnić kompleksowe leczenie zębów na najwyższym poziomie. Dbamy o zdrowie jamy ustnej naszych pacjentów w pełnym zakresie – od stomatologii zachowawczej i dziecięcej, przez ortodoncję i chirurgię, aż po zaawansowaną protetykę, implantologię oraz stomatologię estetyczną. Każdy stomatolog w naszym zespole wie, że kluczem do sukcesu jest holistyczne spojrzenie na pacjenta.
Kompleksowe Leczenie Zębów na Najwyższym Poziomie!
Skuteczna profilaktyka oraz szybka reakcja na zmiany próchnicowe to fundament zdrowia. Regularne wizyty, podczas których dentysta ocenia stan uzębienia, pozwalają zapobiec rozwojowi bolesnych i kosztownych schorzeń dziąseł oraz przyzębia. Profesjonalna stomatologia nie tylko leczy, ale również zwiększa estetykę uśmiechu i wydłuża żywotność zębów. Niestety, wiele procesów chorobowych w początkowej fazie przebiega bezobjawowo. Doświadczony stomatolog dysponujący nowoczesnym sprzętem diagnostycznym jest w stanie zauważyć to, co niewidoczne dla pacjenta – mikroskopijne ubytki, nieszczelne wypełnienia czy zalegający poddziąsłowo kamień. Dbanie o zdrowe uzębienie jest tak samo ważne, jak profilaktyka i leczenie każdej innej części naszego ciała. Idąc do zaufanego specjalisty, mamy pewność, że będziemy cieszyć się pięknym i przede wszystkim zdrowym uśmiechem przez długie lata.
Przychodnia stomatologiczna Demeter oferuje pacjentom kompleksową profilaktykę oraz bezbolesne leczenie w przypadku rozwiniętych stanów chorobowych. Zajmujemy się wszystkimi zabiegami - od higienizacji po skomplikowane rekonstrukcje zgryzu. Do skorzystania z naszych usług zachęcamy pacjentów z całej stolicy, a w szczególności mieszkańców dzielnic Praga Północ i Praga Południe, dla których staliśmy się placówką pierwszego wyboru.

Nasi Stomatolodzy
W Demeter wyznajemy zasadę, że dobry stomatolog to taki, który trwale rozwiązuje problem, a nie tylko go maskuje. Nie uznajemy kompromisów w kwestii jakości, stawiając na sprawdzone standardy medyczne.
Oto filary naszej praktyki:
Zaawansowane technologie i materiały
Wypełnienia to coś więcej niż „plomba”. Dlatego używamy kompozytów najwyższej klasy, odpornych na przebarwienia i ścieranie. Dzięki temu dentysta odbudowuje ząb tak, by wyglądał naturalnie i służył pacjentowi przez lata.
Czas dla pacjenta
Stawiamy na dokładność, nie na pośpiech. Oferujemy dłuższe wizyty, aby stomatolog mógł precyzyjnie opracować ubytek. Naszym celem jest całkowite wyleczenie, a nie chwilowe „zaleczenie” problemu.
Wszechstronna kadra
Nasz zespół to lekarze z różnorodnym wykształceniem i praktyką. Część z nich zdobywała szlify na zagranicznych stażach, inni łączą praktykę prywatną z pracą w renomowanych warszawskich szpitalach. Dzięki temu pacjent ma pewność, że jego dentysta w Warszawie poradzi sobie nawet w najbardziej wymagających sytuacjach klinicznych.
Znieczulenie i komfort
Wiemy, że wizyta u dentysty może stresować. Dlatego stosujemy różne rodzaje znieczulenia, dobierane indywidualnie do potrzeb i stanu zdrowia pacjenta, aby każdy zabieg był jak najbardziej komfortowy.
Ponad 1000 metamorfoz
Liczby mówią za siebie. Wykonaliśmy ponad tysiąc udanych metamorfoz uśmiechu, przywracając pacjentom pewność siebie. Każdy stomatolog w naszej klinice czerpie ogromną satysfakcję z widocznych efektów swojej pracy.
Wsparcie w pielęgnacji
Leczenie dentystyczne to połowa sukcesu, druga to domowa higiena. Na miejscu oferujemy profesjonalne produkty do higieny jamy ustnej, które wspomagają leczenie.
Program lojalnościowy
Doceniamy pacjentów, którzy wracają do naszej kliniki. Oferujemy 5% zniżki na leczenie zachowawcze dla pacjentów, którzy wypełnią Kartę Stałego Pacjenta i wykonują przegląd jamy ustnej przynajmniej raz w roku
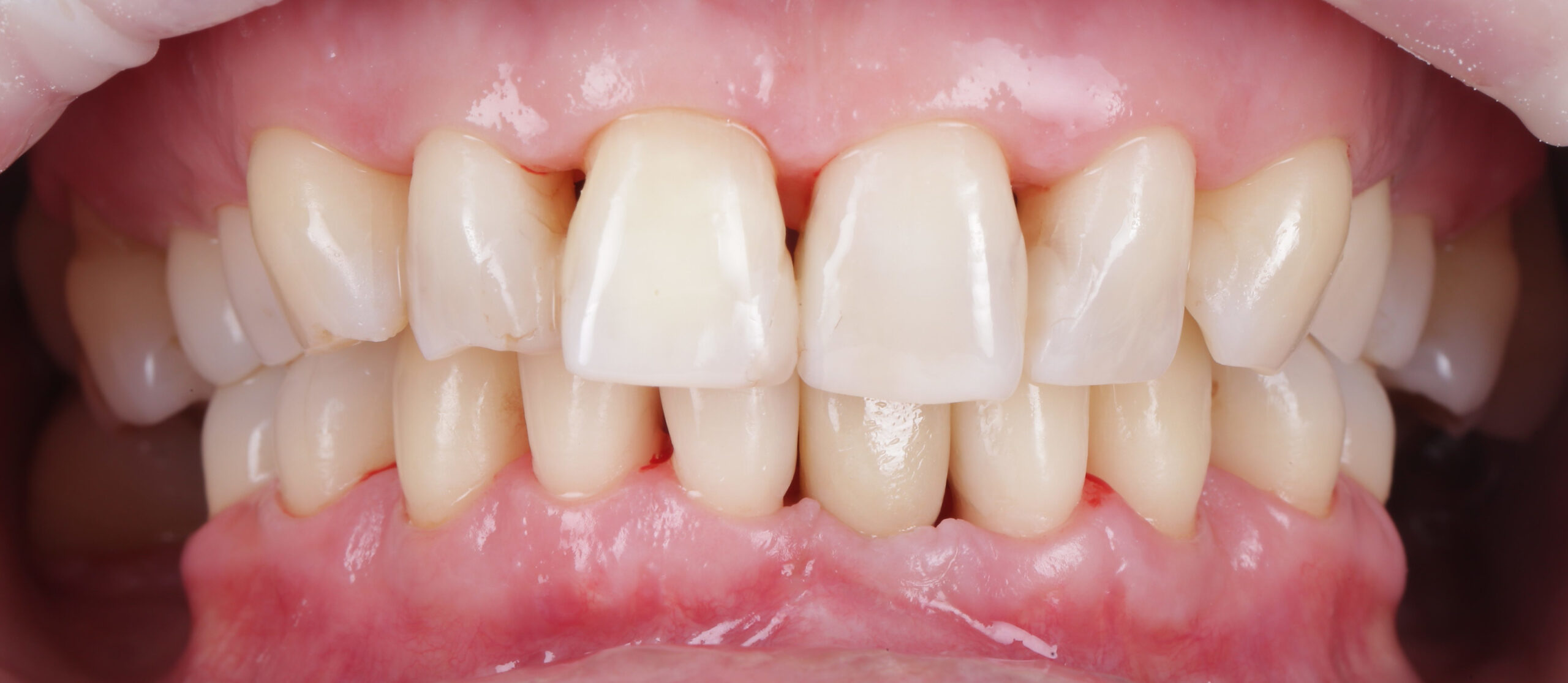
Przykłady Metamarfoz w Naszej Przychodni Stomatologicznej
Poniżej prezentujemy galerię uśmiechów, które odmieniła nasza stomatologia. Zobacz, jak spektakularne rezultaty potrafi osiągnąć wykwalifikowany dentysta.
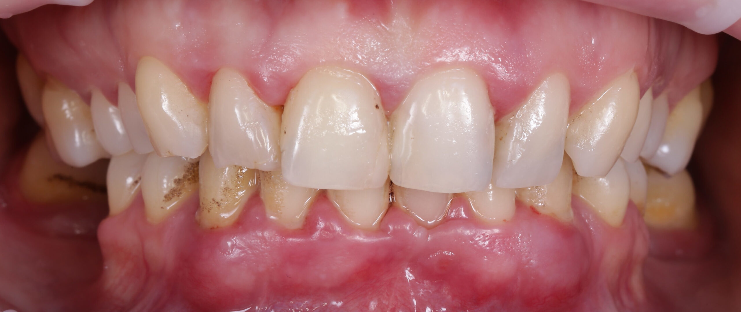
Higienizacja i Czyszczenie Zębów

PRZED

PO
Proteza całkowita na implantach

PRZED

PO
Leczenie Paradontozy

PRZED

PO

Dobry Dentysta to Gwarancja Spokoju i Bezpieczeństwa
Współczesna medycyna stawia na komfort psychiczny pacjenta. Minęły czasy, gdy przychodnia stomatologiczna kojarzyła się z bólem i nieprzyjemnym zapachem. Dlatego w Klinice Demeter dbamy o atmosferę, która sprzyja relaksowi. Wiemy, że dla wielu osób wizyta w gabinecie wiąże się z lękiem. Naszym celem jest odczarowanie tego mitu!
Dobry dentysta to przede wszystkim lekarz rozumiejący potrzeby pacjenta. Nasz personel dba o to, byś na każdym etapie leczenia czuł się w pełni zaopiekowany i bezpieczny. Przed rozpoczęciem zabiegu stomatolog dokładnie omawia plan działania, wyjaśnia kolejne kroki i odpowiada na wszelkie pytania. Dzięki nowoczesnym metodom znieczulenia i umiejętnościom naszych lekarzy, wizyty przebiegają w spokojnej atmosferze. Niezależnie od tego, czy potrzebujesz prostego wypełnienia, czy skomplikowanego zabiegu chirurgicznego, stomatolog w Warszawie w naszej klinice zadba o Twój dobrostan. Pamiętaj, że zdrowie zaczyna się w jamie ustnej – zaniedbane infekcje zębów mogą wpływać na serce, nerki czy stawy. Regularne wizyty u specjalisty to inwestycja w zdrowie całego organizmu.
Umów wizytę
Nasze gabinety są otwarte dla wszystkich pacjentów, zadzwoń, napisz i zarezerwuj wizytę!
+48 22 619 81 94
(Warszawa Praga Centrum)
+48 22 833 43 43
(Warszawa Żoliborz)
Formularz kontaktowy
Kompleksowa Stomatologia w Warszawie
Jeśli szukasz rzetelnej diagnozy i skutecznego leczenia, zapraszamy do Kliniki Demeter. Nasza kompleksowa stomatologia to oferta skierowana do wszystkich, którzy cenią profesjonalizm, trwałość i estetykę. Niezależnie od tego, czy mieszkasz w dzielnicy Żoliborz, Praga Północ, czy w innej części stolicy – dojazd do nas jest wygodny, a jakość leczenia warta każdej podróży. Zapisz się na wizytę i sprawdź, jak nowoczesny stomatolog i dentysta mogą odmienić Twój uśmiech. Twój zaufany stomatolog w Warszawie czeka na Ciebie w Demeter.






















